The content on this page is intended to healthcare professionals and equivalents.

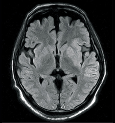
FLAIR

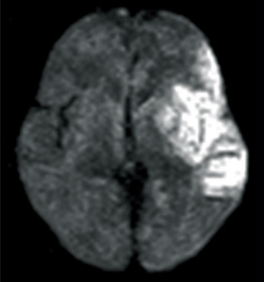
DWI

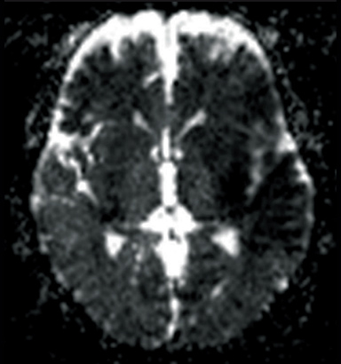
ADC map

3D-GEIR

3D-TOF VR image

2D-TOF MIP image

3D-VASC-ASL (Non-Subtraction technique)




T2WI

Respiratory-gated MIP image

T1WI

2D-RSSG Dynamic EOB

T1WI

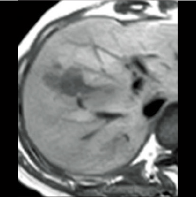
FatSep-T1WI

T2WI

T2WI

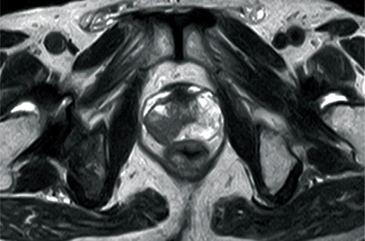
T2WI

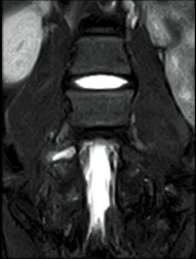
T2WI

FatSep-T2*WI

FatSep-T2WI


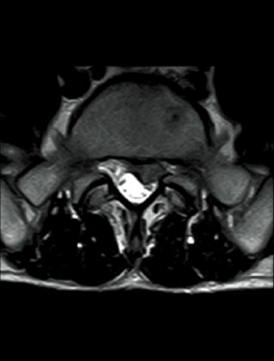
T2WI

T1WI RADAR OFF

T1WI RADAR ON

FatSat-PDWI

T2WI

T2WI

FatSep-T2WI

left:T2*WI right:STIR

T2*WI

FatSat-PDWI

T2WI

T2*WI RadialStack










