このコンテンツは医療従事者向けの内容です。
さらなる拡張をした“目”で、診る人を支える。
- * AI技術のひとつであるディープラーニングを設計に用いた。導入後に自動的にシステムの性能や精度が変化することはない。

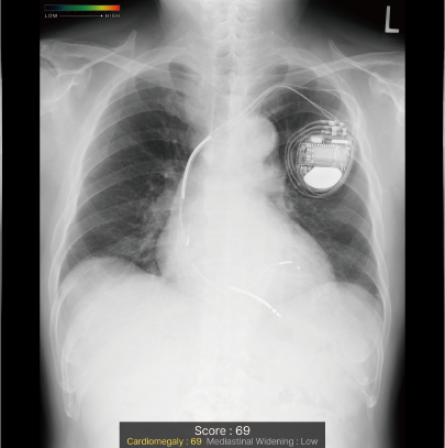
撮影した胸部単純X線画像を自動解析。対象の10所見が疑われる領域を検出しマーキング。
その領域を医師が再確認することで、見落とし防止を支援します。事前に処理をおこなっているため、放射線技師の手を煩わせることなく処理結果を閲覧できます。
従来の結節/腫瘤影、浸潤影、気胸に加え、無気肺、石灰化、瘢痕、胸水、気腹、心拡大、縦隔拡大の10所見に拡張。










CXR-AIDが候補領域の解析をおこなったのち、0~100に応じた確信度を色分けして表示。
検出領域ごとに所見名を表示します。
対象所見のそれぞれの確信度の最大値が所見ごとに個別に表示されます。
ヒートマップと輪郭の表示は3パターンから選択可能です。



CAD併用により、全読影医の感度が上昇しています。
468画像[正常例:234例、異常例:234例に対する専門医6名、非専門医(経験10年以上)5名、非専門医(経験5年未満):6名)]の実験結果
- * 他社システムについては営業担当にご相談ください。
- 製品名
胸部X線画像病変検出ソフトウェア CXR-AID
- 販売名
胸部X線画像病変検出(CAD)プログラム LU-AI689型
- 承認番号
30300BZX00188000













