このコンテンツは医療従事者向けの内容です。
2021年11月27日に開催された第3回日本在宅医療連合学会大会のWeb共催セミナーにおける講演要旨を紹介する。
ぶどうの木クリニック 院長
山本 巻一 先生
私が院長を務めているぶどうの木クリニックは、佐賀県佐賀市に位置し、今年で開院して2年になる有床の在宅支援診療所です。医師は常勤6名、非常勤7名。病床数は19床で、在宅の患者さんのバックアップの病床として使用し、外来診療も常に2~3診で行っています。そして、在宅診療は医師、看護師、ドライバーを1班とする3班体制で行い、患者数は630名、年間の看取り数は2020年で181名となっています。
本講演のテーマは、在宅におけるX線撮影を活用した骨折の診断ですが、その前提として「大腿骨頚部/転子部骨折診療ガイドライン2021」について紹介します。同ガイドラインによると、日本における大腿骨頚部および転子部骨折は年間約20万例、そのうち90歳以上が約7万例を占め、今後も増加することが予想されています。
そうした中で、骨折の確定診断はMRI、または手術所見とする定義が多数発表されていますが、単純X線撮影では診断が付かないがMRIで確認できる不全骨折は40~60%あると報告されています。また、ガイドラインには、転位型だけでなく非転位型骨折でも全身状態が許せば手術の方が予後が良く、手術待機期間が5日以降になると死亡率等の指標が悪化するという記載もあります。
これらを踏まえて、当院では、開院前から高齢者の骨折(主に大腿骨頚部骨折含めた手術対応骨折)対応を急性期病院とともに検討していました。その際、骨折発生現場でX線撮影ができれば連携もしやすいですし、たとえ骨折が確認できなかったとしても高次検査への流れは必要になります。そうした考えのもとで、携帯型X線撮影装置の選定を行い、軽さと画質の良さに魅力を感じて、富士フイルム社製の「CALNEO Xair」を導入しました。
当院の在宅でのX線撮影は、往診先で医師または当院の放射線技師が、CALNEO Xairとフラットパネル(FUJIFILM DR CALNEO Smart)、モバイルコンソール(ノートパソコン)を用いて行います。画像はその場で確認ができ、院内に持ち帰ると電子カルテのファイリングソフトに自動で取り込まれる仕組みになっていて、自院のビューワで読影を行います。
実際の現場では、保持装置にCALNEO Xairを固定して撮影を行い、撮影した画像は持参したノートパソコン上に表示されます。当院では、女性の放射線技師が一人で撮影に出向くこともありますが、CALNEO Xairは軽量であるため、一人でも問題なく対応できています。(写真1)
続いて、いくつか個別の症例をご紹介したいと思います。
1例目は、89歳の男性で、基礎疾患として認知症、高血圧がある施設入所中の方です。ADLは歩行器歩行で、転倒されたという連絡を受けて、CALNEO Xairなどの撮影システム一式を持って訪問しました。そして、X線撮影を行うと、左の大腿骨の骨折が確認できました。(写真2)
X線撮影前の患者さんの反応だけでも骨折の可能性が非常に高いと考えられる症例ではありましたが、その場でX線撮影を行い、大腿部の転子部骨折ということで、手術対応ができる中核病院に搬送を行いました。
地域によって違いがあると思いますが、骨折の搬送先については、全身状態によっては受け入れが難しい病院があったり、高度な麻酔等との兼ね合いによって大学病院に送らなければいけないこともあります。また、転子部骨折か転子間骨折か、人工骨頭になるかならないかというあたりでも、搬送先が少し変わってきますが、当院ではそこまでを見越した上で、後方病院と連携を取るように心掛けています。

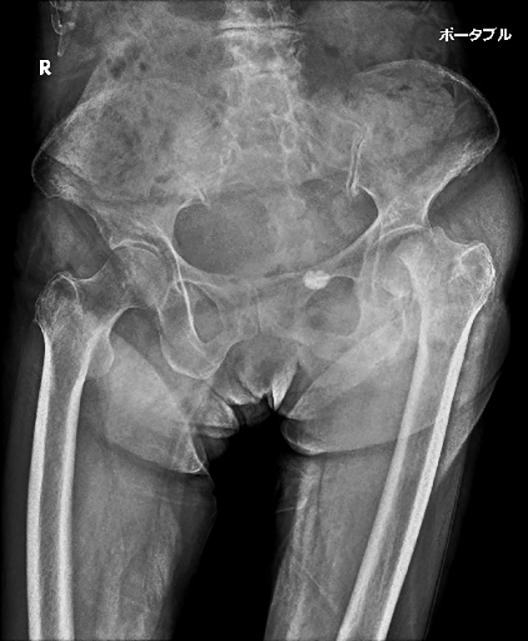
2例目は、85歳の女性で、基礎疾患として腰部脊柱管狭窄症と過活動膀胱がある施設入所中の方です。ADLは歩行器歩行で、日曜日に転倒されて左足の痛みを訴えられていました。1例目と同様に、診察の所見で十分に骨折が疑われましたが、X線撮影を行うと、やはり左の大腿骨の転子間骨折が認められました。(写真3)
佐賀市の我々の地域では、日曜日にこうした症例に対応できる病院が限られており、時間帯によっても搬送先を変える必要があるため、しっかりと骨折を確認して適切な病院に搬送しました。

当院における骨折疑い患者の流れは、ポータブル撮影の要否、および手術の要否によって、4つの流れに分かれます。(図1)
例えば、ポータブル撮影をしない場合は、通常通りの診察をして、その上で骨折を疑って手術が必要であれば後方病院に送り、手術の必要がなければ当院のCT・MRIで検査をして診断を付けていくという流れがあります。一方で、ポータブル撮影をする場合は、現場で撮影した画像をクリニックで確認して、明らかに骨折であるということが分かれば、後方病院に送りますし、骨折の可能性が非常に少ない、もしくは全身状態が悪いので、仮に骨折があったとしても手術の適応はないだろうという場合は、当院の入院、もしくは骨折の確定診断のためのCT、MRI等を行うという流れになります。
在宅でX線撮影を行うメリットは、診断の精度が高まる点にあると実感しています。また、在宅で撮影した画像を用いて診断を付けることで、受け入れ先病院の信頼度が高まり、病診連携、病病連携のネットワークがスムーズに構築できる点も良いと思います。さらに、患者の移動がなくなるので、診断から治療につなげていくまでの時間が短縮され、ひいては患者負担が大きく減少することも大きなメリットだと認識しています。
一方で、現状におけるデメリットとしては、機器が高価であること、保険点数があまり付かないことが挙げられ、今後の改善に期待しています。
私は、在宅医療に携わる中で、CALNEO Xairに助けられている部分が多くありますので、今後さらに普及が進むことを願っています。以上で発表を終わります。ご清聴ありがとうございました。













