このコンテンツは医療従事者向けの内容です。
消化器内科
長沼 裕子 先生
倉光 泰良 先生
ワイヤレス超音波画像診断装置iViz air(ポータブルエコー)を活用した事例の紹介。日本超音波医学会の専門医・指導医として超音波診療の指導をしている長沼先生、当時の研修医倉光先生に、消化器内科医のiViz air活用についてお話を伺いました。

秋田県の市立横手病院消化器内科に従事しています。日本超音波医学会の専門医・指導医として超音波診療の指導もしています。昨今、エコーの進化は目まぐるしく、画質が著しく向上した製品や、ワイヤレスの製品も登場し驚いています。ポータブルエコーは「目に見える聴診器」としての役割を果たしていると感じており、まさに、手の中にある“scientific eye”です。
最近は超音波検査をオーダーするだけで技師さんにまかせっきりにしてしまう医師の超音波離れが気になります。超音波は、その場でリアルタイムに得られる情報があり、より速く対応が必要な患者さんの検査や治療の組み立てができる有用性があります。医師がポータブルエコーを持って自分で患者さんを診るということを大事にしていくべきと考えます。
循環器においてポータブルエコーを使った5年生の医学生の正診率が75%だったのに対し、エコーを用いない循環器内科医の正診率が49%であったという興味深い論文があります*1。これはポータブルエコーがいかに診断に役立つかを示しており、さらに、少しトレーニングをすることで充分な情報を得るに足るスキルを身に着けることができるということを示しています。
超音波教育においても、コロナ渦の影響や働き方改革などにより、集まってハンズオンを行うことがやりづらくなっています。ポータブルエコーの操作のコツ、超音波の走査法を説明して、セルフトレーニングをするように指導しています。
スマホを用いたポータブルエコーは若手医師に親和性が高く、受け入れられやすいと思います。医師が自分でポータブルエコーを“パーソナルエコー”として聴診器のように持ち歩くようになることが理想です。医師がみずからエコーで診て大事な臨床情報を得ることが診療に役立っていくと思います。ポータブルエコーの普及により、そのような医療環境になっていくのではないかと考えています。
若手医師は実際どのようにポータブルエコーを使用し、何を感じているか。ワイヤレス超音波画像診断装置iViz airを使用している当院の研修医・倉光泰良先生の事例を紹介します。
- *1 Kobal SL, Trento L, Baharami S, et al. Comparison of effectiveness of hand-carried ultrasound to bedside cardiovascular physical examination. Am J Cardiol. 2005; 96:1002-6
倉光 泰良 先生
私は1年前から市立横手病院で初期研修を開始しました。消化器内科を志望しており、現在は指導医の元で入院患者様の診察・病棟対応をはじめ、週に1度消化器内科の新患外来を担当させて頂いております。患者さんの年齢層は80、90代の方が多く、中には100歳を超える方もいます。そうした自身の症状を訴えづらい患者さんにiViz airを使用することで、客観的な評価を得られ、疾病診断に繋がっていると実感しております。
ワイヤレスのiViz airを初めて使用した時、「コードがないのにここまで画質がきれいなのか」と驚きました。サイズはスマホと同様で、スクラブのポケットに入れて持ち運ぶことができて非常に便利です。日々の回診で入院中の患者様から「今日はちょっと具合が悪い」などお話を伺った際に、その場で患者様のお腹の様子をiViz airで診察し、必要な検査を追加できるメリットもあります。
エコーの画像の鮮明さは非常に重要なポイントと考えており、画質が優れているということは安心材料のひとつになります。若い医師が対応することに不安を感じる患者様もいらっしゃいますので不安を軽減するためにも、身体診察だけではなくiViz airを使用して客観的な診断・評価をしていきたいといつも心がけるようにしています。

実際に、私がiViz airを使用した具体例を2つ紹介します。1つ目は救急外来での事例です。
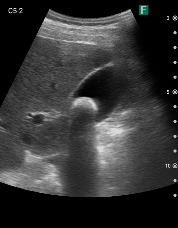
夜間、腹痛を主訴に高齢の男性が救急外来にいらっしゃいました。その方は尿道カテーテルが入っており、頻繁にカテーテルの閉塞を起こしている病歴がありました。
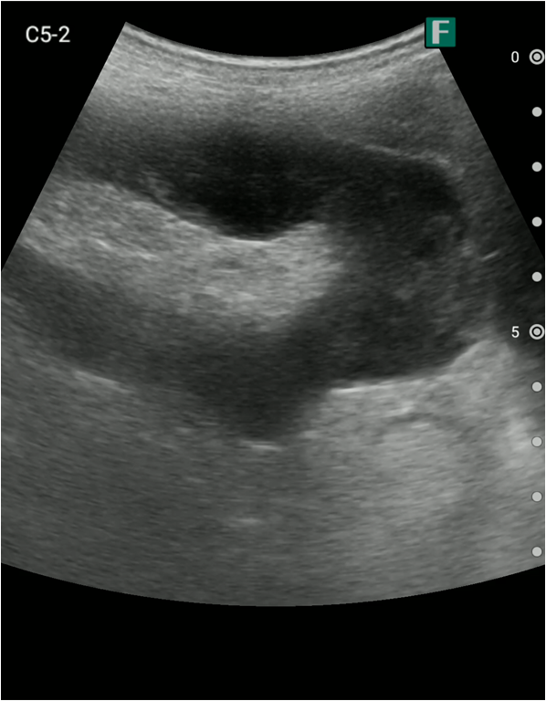
視診を行い下腹部に軽度の膨隆が確認できましたが体外から出ているカテーテルには明らかな閉塞を認めませんでした。そこで、iViz airで観察したところ、膀胱内に約400mlの残尿を認めカテーテル閉塞による腎後性腎不全と診断を確定させることができました。尿道カテーテルを抜去した際、外見からは見えないカテーテルの先端部分に沈殿物を認め、閉塞の原因であるとわかりました。その後尿道カテーテルの交換を行うと残尿の排出ともに腹痛は消失し、無事に帰宅されました。iViz airでの観察が尿閉の確定診断につながった症例です。
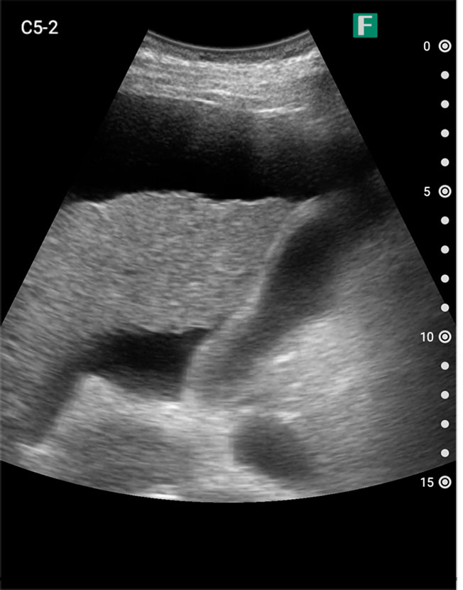
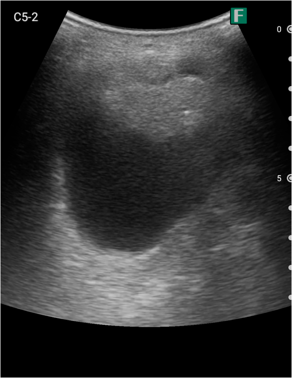
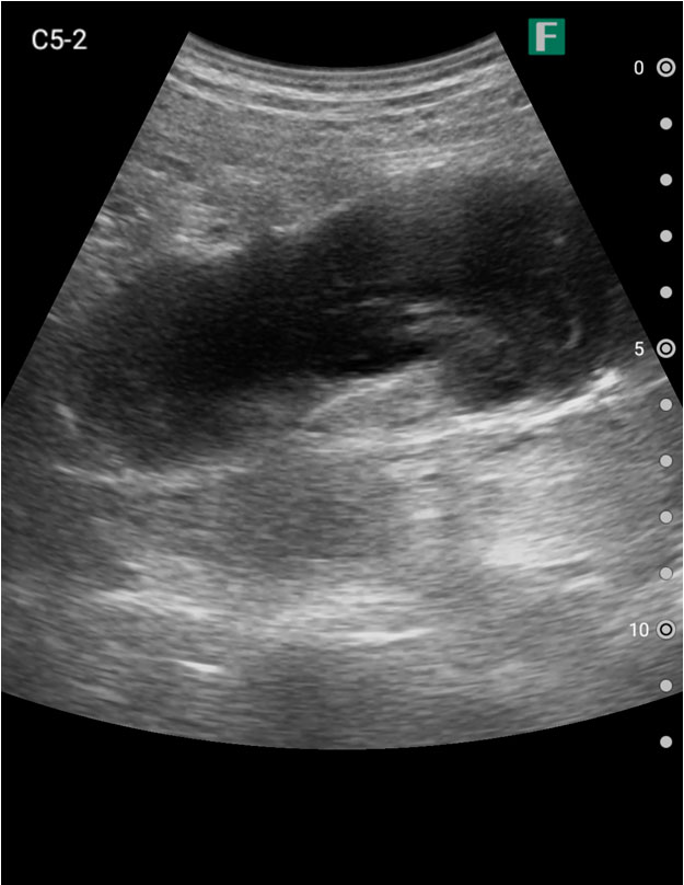
もう一つは入院患者様に対しての具体的な使用事例を紹介します。朝の回診の際にiViz airを使用し、例えば腹水のある患者様を診た際は、「今日は水の量が少なく、そこまでお腹は張ってないですね」、「今日はここに水が溜まっているんですけど、昨日より少ないですよ」など、日々の状態を患者様ご本人に伝えるようにしています。スマホで実際の画像も簡単にお見せできるので、患者様に実際に見ていただくことで少しでも不安を和らげてもらえるように心がけています。
そうして積極的に話をすると、不安そうな表情をする患者様はあまりいらっしゃらない印象を受けています。iViz airがあると患者様と会話をするきっかけにもなるため、コミュニケーションツールとしても実用的だと感じた事例でした。














iViz airは研修医が気軽にできる検査だと感じています。主体的に使用して評価できる検査であり、診療のプロセスを踏む上で思考力を鍛える一助にもなっています。
以前、私はiViz airを自分の体に当てて練習をする“セルフトレーニング”をしていました。自宅で参考書を見ながらゆっくりと時間をかけて練習できるので非常に貴重な経験を培うことができました。
据え置き型のエコーの場合、病院内の決められた場所で練習する必要があり、どうしても練習する時間が限られてしまっていました。また、横になった状態で参考書を片手に大きな装置を動かすのはかなり辛い経験でした。今回小型化されたエコーを使用できる機会を得られ、気軽に練習できるようになりエコーに触れる時間も長くなったと感じました。
他にも、iViz airの利点と考えるのは、「答え合わせ」に活用できる点です。朝の回診の際、担当している入院患者様にエコーを当て画像所見を記録します。同日の午後に長沼先生が同患者様をエコーで検査をする現場に立ち合わせて頂き、朝自分が記録した所見の再現性について確認します。
長沼先生がどのように超音波検査を進めるのかを見学しつつ、朝自分が記録した所見についての確認・疑問点など質問をさせて頂きます。それに対して長沼先生からその場でフィードバックを頂き、その過程を繰り返すことで自身の理解度が深まっていくのを強く感じました。
当院では、救急外来にて自身でiViz airで所見を記録しておおよその鑑別を済ませた後に専門科にコンサルトを行う凄腕の先生もいます。そういった働き方に憧れるため、これからもiViz airを使用して患者さんを診る経験を積み、医療の習熟度を高めたいと思っています。長沼先生をはじめ、エコーの使用が積極的になされている横手病院の環境に、やる気を押し上げられていると日々感じています。














