このコンテンツは医療従事者向けの内容です。
0.3-0.4テスラの永久磁石型オープンMRIにおいて詳細な脳萎縮評価を可能とするため最適化した2つの撮像シーケンスを用いて、小数例ではあるがボランティアにおいて1.5テスラMRIと比較し同等の解析結果が得られることを確認した。また、現在行っている早期アルツハイマー型認知症の識別能を検証する多施設研究では、最適化した撮像シーケンス双方において十分な識別能を有する予備解析結果を得ている。0.3-0.4テスラの永久磁石型低磁場MRIは国内での普及台数も多いため発展の余地が大きく、解析法を含め今後の普及とさらなる利活用が期待される。
Using two optimized imaging sequences for detailed evaluation of brain atrophy in 0.3–0.4 Tesla open permanent magnet MRI, we confirmed that the results of the analysis were comparable to those obtained with 1.5 Tesla MRI in a small number of volunteers. In an ongoing multi-center study on the discrimination of early-stage Alzheimer's disease, preliminary analysis showed that both optimized imaging sequences were sufficient for disease discrimination. Since the number of 0.3–0.4 Tesla permanent magnet low field MRIs is considered large in Japan, there is a lot of room for improvement. Therefore, wide use and further application of this method, including the image analysis technique, is expected in the future.
Permanent Magnet Open MRI, Morphometry, Atrophy, Alzheimer’s Disease
近年のMRI撮像技術とコンピュータ解析技術の発展により、軽微な脳萎縮の検出が可能となっている。最近ではVoxel-based morphometry(VBM)とよばれる3D画素単位での全脳の客観的な脳体積評価法1)や、FreeSurfer2)などに代表される解剖学的脳領域ごとの体積や皮質厚の定量化などが盛んに行われており、脳医学・脳科学研究で広く利用されている。 また、国内でもアルツハイマー病早期診断支援システムが薬事認可されるなど臨床応用も進んでおり、今後もさらなる発展が見込まれている。一方で、これらの技術は高い信号雑音比と組織間コントラストの得られる1.5テスラ以上の高磁場MRIを主な対象としており、低磁場MRIへの応用はこれまでほとんどされてこなかった。現在でもクリニックなどでは0.3-0.4テスラの永久磁石型MRIが多く導入されており国内MRIシェアの約3割を占めているため、この永久磁石型装置を利用して詳細な脳萎縮評価ができれば、医学・科学研究への応用のみならず認知症リスク者の早期発見などを通じて予防医学に貢献できる可能性が大いにある。われわれは現在、内閣府ImPACT(革新的研究開発推進プログラム)のプロジェクトで最適化した0.3-0.4テスラMRI用の3D T1強調頭部撮像シーケンスを用いて、低磁場の永久磁石型MRIにおいても軽微な脳萎縮評価が可能であることを実証するため、早期アルツハイマー型認知症を対象とした多施設脳画像研究を行っている。本稿ではこの永久磁石型MRI用の脳萎縮評価のための頭部撮像シーケンスの最適化と、解析結果などについて紹介する。
0.3-0.4テスラの永久磁石型MRIの脳萎縮評価のための3D T1強調画像の最適化や標準化はこれまで行われておらず、1.5テスラ以上の高磁場装置においては多施設研究における画質の均てん化のためにAlzheimer’s Disease Neuroimaging Initiative(ADNI)3)などによって国際的に広く撮像シーケンス・パラメータの調整が行われている。ADNIでは撮像法の標準化にあたって以下のような事項が考慮・検討されており、永久磁石型MRIについても原則として同様の方針で検討を進めた。
- 施設・装置間、また経時的に同等の画質(コントラストノイズ比、空間解像度、アーチファクト耐性、再現性、撮像速度等)が得られるようにする。
- 折り返しの無いように全脳をカバーし、撮像は10分以内、ただし撮像時間の短縮よりアーチファクト低減を重視。
- XYZ各方向最大1.5mm以内でボクセル体積は1mm3程度、可能であれば等方ボクセルとする。
- 磁場強度に特有のアーチファクトを抑えながら高SNRをめざす。
- マニュアルROI解析に加え、自動アトラス解析やVBM(Voxel-based morphometry)などコンピュータ解析を行うことを前提とする。
- 傾斜磁場の非直線性による歪みの補正など、後処理により特定のアーチファクトを補正できる場合はこれを利用する方針。
コンピュータ解析においては、閾値処理やセグメンテーションとよばれる組織の自動分離抽出処理が行われるため、皮質・白質・脳脊髄液などの代表的な組織間のコントラストが高いこと、信号雑音比が高くアーチファクトが少ないこと、また検査間の安定性(再現性)が高いことなどが重要であり、これらが実現されることにより横断的にも縦断的にも微小な変化を正確に検出することが可能となる。また、装置間の画質の差が最小限に抑えられることでデータの共有・統合が可能となり、正常データベースの構築・共有時や多施設研究でのデータ統合時にデータの均質性が保たれるなどのメリットがある。
ADNIでは最終的に、1.5テスラ装置においてはTR 2300-2400(フェイズドアレイコイル)または3000 ms(バードケージコイル)、TE 3.5-4.0 msまたは最小、TI 1000 ms、FA 8°、撮像マトリクス 192×192、FOV 240×240 mm、スライス厚 1.2 mm、スライス枚数160-170(フェイズドアレイ)/184-208(バードケージ)で7分-10分弱の撮像時間、3テスラ装置ではTR 2300(フェイズドアレイコイル)または3000 ms(バードケージコイル)、TE 2.9msまたは最小、TI 853-900 ms、FA 8-9°、撮像マトリクス 256×256、FOV 256-260×240 mm、スライス厚 1.2 mm、スライス枚数160-170枚で9分程度の撮像時間と設定された4) 5)。J-ADNIでも機種ごとに同等の設定が行われ、国内メーカーの2装置と米ADNIで標準化されなかった1装置についてはADNIに倣いながら独自にパラメータが決定された。高磁場装置のこれらの状況を踏まえ、0.3-0.4テスラ永久磁石型MRI用の撮像シーケンス・パラメータを表1のように決定した。3D T1強調頭部撮像シーケンスで一般的に用いられているmagnetization prepared rapid gradient echo (MP-RAGE)に相当するものの製品名が3D Gradient Echo with Inversion Recovery(3DGEIR)、spoiled gradient echo(SPGR)に相当するものの製品名が3D Rf-Spoiled Steady state Gradient echo(3DRSSG)である。
| 3DGEIR | 3DRSSG | |
|---|---|---|
| TR (ms) | 25 | 30 |
| TE (ms) | 5.8 | 7.8 |
| TI (ms) | 600 | ― |
| FA (deg.) | 12 | 40 |
| Acquisition matrix | 192 × 192 | 192 × 192 |
| Reconstruction matrix | 256 × 256 | 256 × 256 |
| In-plane resolution | 0.9765625 × 0.9765625 | 0.9765625 × 0.976562 |
| Slice thickness (mm) | 1.8 | 1.8 |
| Number of slices | 108 | 108 |
| Number of excitations | 1 | 1 |
| FOV (mm) | 250 | 250 |
| Acquisition time (min:sec) | 10:48 | 10:23 |
表1 低磁場MRI用撮像シーケンスとパラメータ
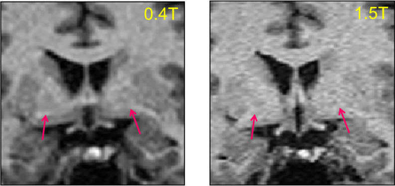
この最適化した撮像シーケンス・パラメータを使用し、同一ボランティアで0.4テスラ装置(APERTO Lucent*1)と1.5テスラ装置(ECHELON OVAL*2)で3D T1強調画像を撮像した例を図1に示す。VBMで一般的に用いられる組織自動分離抽出結果を利用して灰白質・白質・脳脊髄液の信号コントラストを算出すると、3DGEIRでは0.4テスラのボランティア3例の平均で白質・灰白質コントラストが1.63、脳脊髄液・灰白質コントラストが0.33となり、小数例での検討ではあるが1.5テスラの1.39と0.39と比較してむしろ高いコントラストを有することが示された。3DRSSGでは0.4テスラで白質・灰白質コントラストが1.35、脳脊髄液・灰白質コントラストが0.55となり、1.5テスラの同シーケンスではそれぞれ1.29と0.50であったため、ほぼ同等のコントラストが得られていることが確認できた。
図1 同一ボランティアにおける0.4テスラ装置と1.5テスラ装置による3D T1強調画像(上段:3DGEIR、下段:3DRSSG)
次にVSRADによるセグメンテーションの結果を図2に示す。0.4テスラ装置においても1.5テスラ同様に良好な組織分離抽出結果が得られていることが確認された。萎縮部位を確認すると、広さと強さに若干の差があるものの類似した萎縮パターンが描写されていることが分かる(図3)。またVSRADの主たる結果指標であるVOI内萎縮度のzスコアも、0.4テスラと1.5テスラの差が3DGEIRで0.33±0.20、3DRSSGで0.22±0.13と近い値が得られていることが確認できた。

図2 0.4テスラ装置と1.5テスラ装置による3D T1強調画像のVSRADによるセグメンテーション例(上段:3DGEIR、下段:3DRSSG)

図3 0.4テスラ装置と1.5テスラ装置による3D T1強調画像のVSRAD解析結果(上段:3DGEIR、下段:3DRSSG)
次に解剖学的脳領域毎の体積値の比較検討のため、代表的脳画像解析ソフトウェアであるSPM12の脳体積解析用ツールボックスであるComputational Anatomy Toolbox 12を用いて122部位の灰白質体積を比較した(図4)。0.4テスラ装置と1.5テスラ装置の体積値の差は、差の絶対値を1.5テスラでの体積値で除した指標(パーセンテージ算出)において、3DGEIRで9.3±9.0 %、3DRSSGで11.6±13.2 %と10%前後であることが確認され、全体的に良好な一致を得たと考えられた。一方で、淡蒼球においては両シーケンスとも50%以上の体積差を示し値が大きく乖離していたため、原画像を改めて確認した所0.4テスラの画像の方が1.5テスラに比して強い灰白質・白質のコントラストを有しており、低磁場装置の抽出精度が高いことを期待させる結果となった(図5)。

図4 0.4テスラ装置と1.5テスラ装置による解剖学的脳領域の体積差(1.5 T-0.4Tを1.5Tで除したもの、単位 %)。上段:3DGEIR、下段:3DRSSG)

図5 0.4テスラ装置と1.5テスラ装置の線条体領域の灰白質・白質コントラスト(3DGEIR)
現在われわれは本シーケンスを用いて0.3-0.4テスラ永久磁石型MRI装置における早期アルツハイマー型認知症検出能を評価する多施設研究を進行中である。途中経過の段階であるが、健常対照者に対する早期アルツハイマー型認知症患者の識別能が3DGEIR、3DRSSG両シーケンスともROC解析の曲線下面積で0.93-1.00となるなど、十分な識別能を有している可能性が示唆されている。
- *1 APERTO Lucent およびAPERTOは富士フイルムヘルスケア株式会社の登録商標です。
- *2 ECHELON OVAL は富士フイルムヘルスケア株式会社の登録商標です。
永久磁石型オープンMRIにおける脳萎縮評価の取り組みについて、撮像シーケンスの最適化と解析例を紹介した。永久磁石型MRI装置は国内シェアも大きく、これを利活用して全国的に認知症等の脳疾患が早期に検出できればその医学的・社会的意義は非常に大きい。本手法の今後の普及と、さらなる発展を期待する。
- 1) Ashburner, J. , et al:Voxel-based morphometry--the methods. :Neuroimage. 11:805-21, 2000.
- 2) Fischl, B., :FreeSurfer. Neuroimage. 62:774-81, 2012.
- 3) Mueller, S.G., et al., The Alzheimer's disease neuroimaging initiative. Neuroimaging Clin N Am. 15:869-77, xi-xii, 2005.
- 4) Jack, C.R., Jr., et al., The Alzheimer's Disease Neuroimaging Initiative (ADNI): MRI methods. J Magn Reson Imaging. 27:685-91, 2008.
- 5) ADNI | MRI Scanner Protocols. (参照 2021-11-11)













