このコンテンツは医療従事者向けの内容です。
日野みんなの診療所は、「こんな診療所があったからこの地域に住んでいてよかった。来るだけで、相談できるだけで、安心できる」をビジョンにおいて、夜間の診療や往診まで対応する地域の総合診療所として重要な役割を担っています。院内は、スタッフのあたたかい雰囲気と、患者さんファーストで工夫された院内設備の数々により、居心地の良い空間が創られています。
診療所のコンセプトと開院当初から運用されている64列128slice CT Supria Opticaについて、土方利之院長と、中山技師に話を聞きました。
日野みんなの診療所
院長 土方 利之 氏
放射線技師 中山 氏

放射線技師 中山 氏(左) 院長 土方 利之 氏(右)
土方氏 当院は、2022年4月に開業した有床診療所で、24時間体制の診療により外来だけではく訪問診療も行っています。
現在の平均外来者数は120名/日ほどで、整形系や高血圧や高脂血症などの生活習慣病やリハビリ目的で来院される患者さんが多い状況です。家族で来院される患者さんが多く、患者さんの年齢層は広いです。患者さん全体の40%が小児である点も特長かと思います。
開業当初からめざしていた「みんなの診療所」になってきていると思います。
土方氏 当初は救急診療所をめざしていたため、質の高い診療を提供できるよう、院内設備や診断機器を充実させました。CTやMRIの導入もそのひとつですし、キッズスペースなど、患者さんが過ごしやすい空間づくりにもこだわりました。
ただ、現在の診療所を作っているのは、当院スタッフの力が大きいです。当院のスタッフは皆人柄がよく、患者さんのためになることを考えて自発的に動いてくれています。院内には、患者さん向けの掲示板を手作りしていますし、待合室の椅子の配置ひとつとっても、スタッフ同士で相談してどんどん改良してくれています。スタッフはクリニックの宝ですね。
スタッフ手作りの情報掲示板
細やかな気配りが行き届いている。
院内設備
クラウドファンディングにより導入された機械浴。
あたたかみのある手作りの掲示板に協力者の名前が掲載されている。



充実のキッズスペースと子供向けトイレ設備。沢山の玩具に囲まれて、待ち時間もあっという間。キッズスペースから診察室へは、足跡を辿っていく。
土方氏 一次診療でクオリティの高い診療を提供し、大きい病院に紹介する患者さんを篩い分けることは、当院の役割であると感じています。そのために画像診断は重要な役割を担っています。
画像診断機器としては、レントゲンのほか、CT、MRI、骨密度、超音波などがあります。モダリティが充実していることで、目的に応じて適切な検査を選択ができ、患者さんにすぐに結果をお伝えできます。疾患によっては患者さんの状態に応じて、たとえば痛みを我慢できないような患者さんでは短時間で撮影できるCTを選択するなど、診断の選択肢も広がっていますね。
当地域では、画像をすぐに撮影できる施設が少なかったためか、患者さんは症状があっても我慢をして、どうしようもなくなって来院されるケースも多いと感じています。そのような場合にも、受診当日にすぐに画像診断を行い、治療に繋げられる点は当院の武器になっています。
画像で見て説明を受けられると、やっぱり患者さんの納得度が違うんですね。みなさん満足度高く診察を終えていると実感しています。
現在では、当初思い描いていた救急に特化したクリニックのイメージとは異なっていますが、地域のニーズに合わせて診療体制を臨機応変に対応しており、地域のニーズに応えられている実感はあります。
土方氏 CT検査は、胸部や腹部、骨折疑い等、造影も含めて様々な用途に活用しています。予約だけでなく、必要なタイミングですぐに検査ができるようにしています。
当院のスタッフはすぐに撮影してくれますし、スキルも非常に高いと感じます。放射線技師がいることで、まちがいなく診療の幅が拡がっています。とても信頼を置いていますね。
装置選定にあたっては、すぐに撮影できて、患者さんの負担が少ない機種を選びました。導入機種は、撮影時間が短く患者さんの負担が少ない点、AI技術を活用して開発した画像処理IPV*1により被ばく低減ができる点から、決定に至りました。
当院では、夜間等は医師が撮影業務を行うこともありますが、CTは比較的直観的に撮影できています。
レントゲンは身体的に痛みを抱える患者さんもいる中で、診断能の高い画像を取得するのはやはり難しいですね。撮影時の患者さんの負担が理解できるので、無駄なオーダーは出しません。
中山氏 今のところCTはノントラブルです。初めて使うメーカーだったため、操作に慣れるまでは戸惑いもありましたが、現在は迷うことなくスムーズに操作しています。富士フイルムの方もサポートしてくださいますし、安心して使用しています。
X線管装置は2MHUのコンパクトな容量と聞いていましたが、連続検査においても問題なく使用できています。先月も泌尿器系の造影検査で、全腹部4相を2,3症例撮影しましたが、管球の冷却待ちなどなく撮影できています。
先生方へも、画質や画像作りに対してどんどん要求して欲しいと思っています。
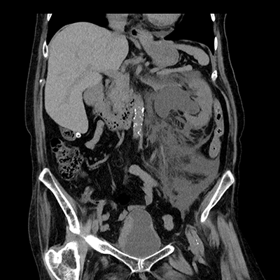
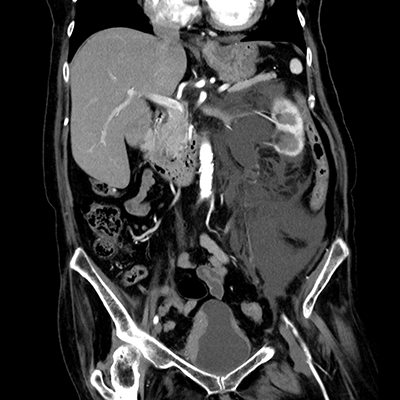
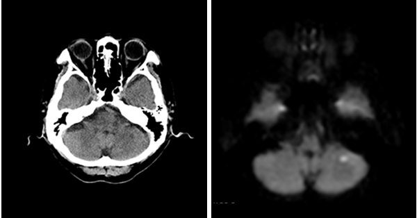
臨床画像例






中山氏 IPVは被ばく低減に役立っています。
当院では、体幹部は平均的にガイドライン*2比で50%近く低被ばくの条件で撮影していますが、読影の先生にも問題なく診断して頂いています。低被ばくに撮影することは、患者さんのメリットに繋がります。当院では、さらに患者さんに安心していただくため、被ばく線量を集計して患者さん向けの説明ツールを作っています。
患者さん向けの被ばく説明資料と被ばく線量
- * 取材当時 DRLs2020比較

| 診断参考レベル(DRC2020) | 当院の平均値 | ||||
|---|---|---|---|---|---|
| CTDIvol[mGy] | DLP[mGy・cm] | CTSIvol[mGy] | DLP[mGy・cm] | 推定実行線量 | |
頭部単純ルーチン | 77 | 1350 | 50.4 | 886.5 | 1.86mSv |
| 胸部1部 | 13 | 510 | 6.4 | 256.1 | 3.59mSv |
| 胸部~骨盤1相 | 16 | 1200 | 6.7 | 445.8 | 6.69mSv |
| 上腹部~骨盤1相 | 18 | 880 | 8.0 | 380.0 | 5.7mSv |
* 撮影方法・体形によって線量は増減します。
(東京都日野市東豊田2-16-3)
土方氏 当院のミッションは「安心して暮らして笑って最期を迎える社会をつくる」こと、そしてビジョンは「こんな診療所があったからこの地域に住んでいてよかった」と患者さんに思っていただけることです。
現在、そのビジョンを共有して体現してくれるスタッフは本当に当院の宝ですので、そのスタッフを大事にしながら皆で同じ想いで診療所を造っていく点は守りつづけたいです。
その上で、患者さんの人生に寄り添うには医療だけでは完結しませんので、介護まで展開していきたいと考えています。当院だけの発展ではなく、他の医療機関と繋がって連携し、点から線になり、面として日野市の医療・介護を支えていきたいですね。
- *1 IPVは、Iterative Progressive reconstruction with Visual modeling の略称です。AI技術のひとつであるMachine Learningを活用して開発した機能です。導入後に自動的に装置の性能・精度が変化する事はありません。診断対象や検査対象、被検者の体格、解剖学的位置、診療目的や検査内容によっては、効果が小さくなる場合があります。
- *2 取材当時。日本の診断参考レベル(2020年版)https://j-rime.qst.go.jp/report/JapanDRL2020_jp.pdf
- 販売名
全身用X線CT診断装置 Supria
- 医療機器認証番号
225ABBZX00127000
- 製造販売業者
富士フイルム株式会社
- 販売業者
富士フイルムメディカル株式会社
- * 外観および仕様は、改良のため予告なく変更することがあります。
- * Supria Opticaは、全身用X線CT診断装置 Supriaの64列検出器、かつ2MHUのX線管装置を搭載したモデルの呼称です。
- * 本資料に記載されている会社名、商品名は、富士フイルム株式会社またはグループ会社の商標または登録商標です。













