The content on this page is intended to healthcare professionals and equivalents.
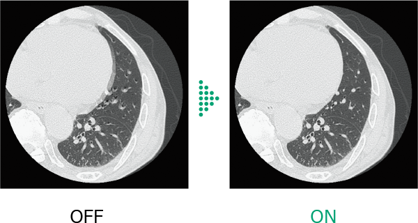
Conventional chest CT scans*1 have faced challenges due to motion artifacts caused by heartbeat and patient motion , making diagnosis difficult in some cases.
Body StillShot*2 calculates the direction and amount of patient motion in four dimensions from the collected raw data, providing images with minimal blurring caused by motion . It can also be used in combination with Intelli IPV*3 , an image reconstruction technology developed using AI, contributing to further image quality improvement.


Conventional cardiac CT scans*1 were affected by changes in heart rate during scanning, such as high heart rates and arrhythmias, which affected the image quality of the entire heart and make diagnosis difficult in some cases.
Cardio StillShot*4 calculates the direction and amount of patient motion in four dimensions from the collected raw data and provides images with minimal motion blur due to motion . By applying corrections during image reconstruction, it achieves an effective temporal resolution of up to 28 milliseconds*5.


In head scanning, Body motion Correction corrects artifacts caused by patient movement.

Sample clinical images from SCENARIA View CT System and Supria CT System
- *1 The case of SCENARIA CT System
- *2 Body StillShot is a dedicated option for the Operator Console: CT-OC-23D. It can not be installed in the Operator Console: CT-OC-23C.
- *3 IPV stands for Iterative Progressive reconstruction with Visual modeling. Intelli IPV was developed using Machine Learning, an AI technology. The performance and accuracy of the system do not automatically change after implementation.
- *4 Cardio StillShot is a dedicated option for the Operator Console: CT-OC-23D. It can not be installed in the Operator Console: CT-OC-23C.
- *5 In case of 0.5 sec/rot and heart rate 80 bpm or less









