This website uses cookies. By using the site you are agreeing to our Privacy Policy.

Taiwan
Home Healthcare MRI and CT Whole-body X-ray CT System Supria 32 Supria 32:Gallery

Supria 32 - Gallery

Supria 32 meets healthcare needs – present and future.

The content on this page is intended to healthcare professionals and equivalents.

Intelli IP Imaging
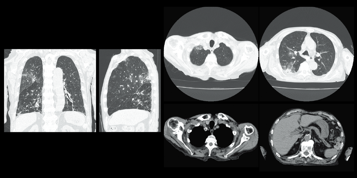
Lowered arms / Pneumonia
Obese patient (Weight : 120kg)
High-Speed Scanning
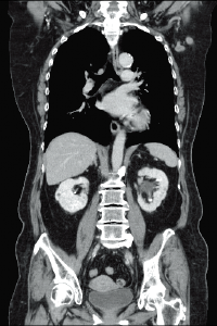
Chest scanning
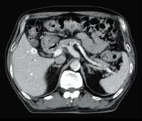
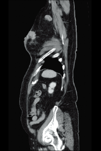
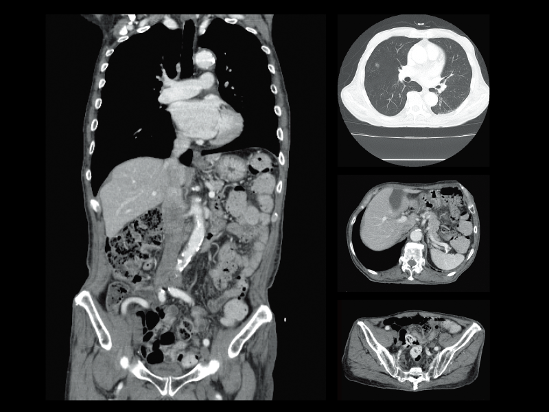
Thoracoabdominal scanning
Submillimeter slice imaging  for high resolution and high quality images
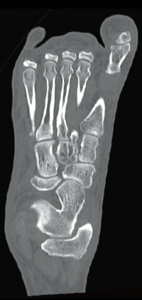
Scaphoid bone fracture
High quality imaging with the gantry tilt
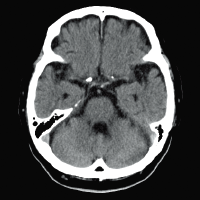
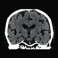
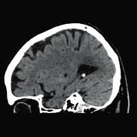
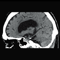
Cerebral infarction
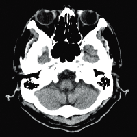
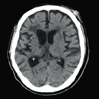
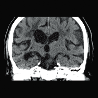
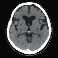
Lacunar infarction
Clinical images with Intelli IP
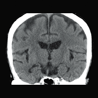
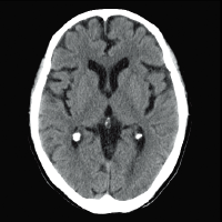
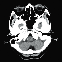
Head routine
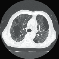
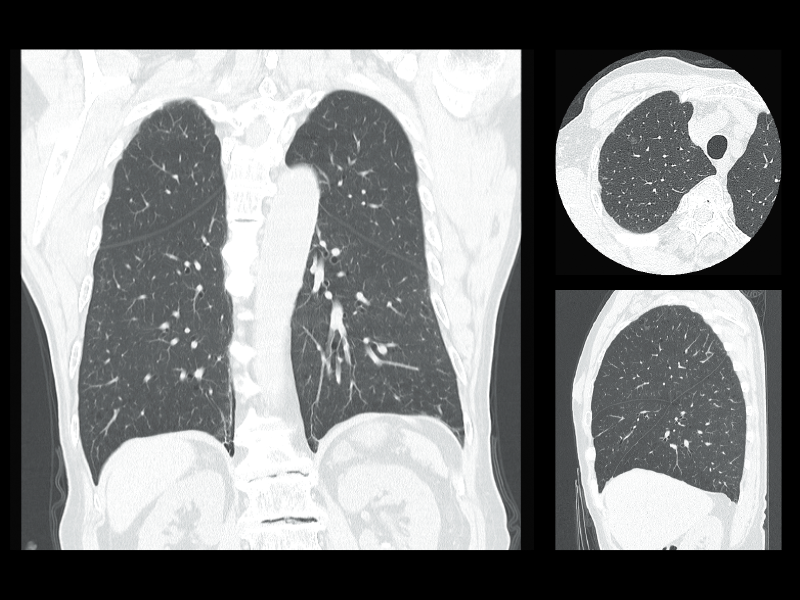
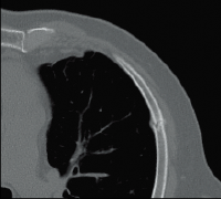
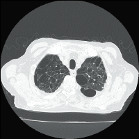
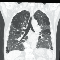
Pulmonary emphysema
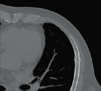
Breast cancer (suspected lymph node metastasis)
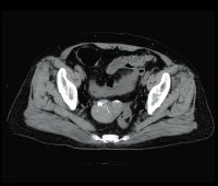
Uterine fibroids
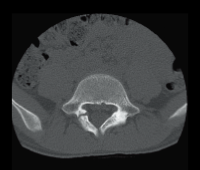
Spondylolysis (10 years old )
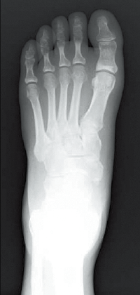
Cuboid bone fracture
Tibia fracture
Rib fracture
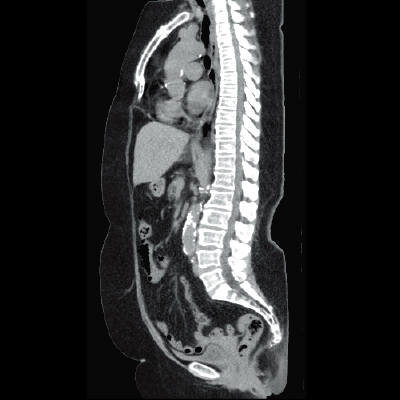
Compression fracture
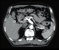
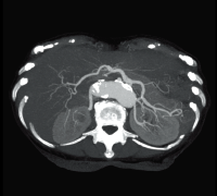
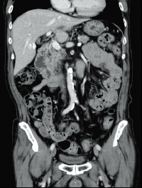
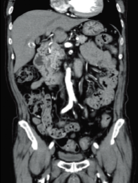
Abdominal CTA (100kV)
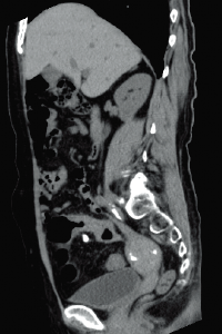
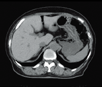
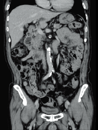
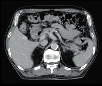
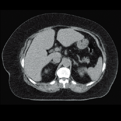
Hepatic hemangioma (Dynamic)
Cerebral aneurysm
Right middle cerebral artery stenosis
SFA total occlusion
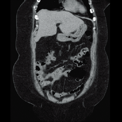
Colonic polyp