このコンテンツは医療従事者向けの内容です。
AI技術*1を活用したノイズ除去技術であるDeepInsight技術、eFocusing PLUSそして、Carving Imagingの3つの高画質技術の組み合わせで組織からの信号を余すことなく表現し、より依存性の少ない高画質を実現します。



観察対象部位における高い視認性を実現しました。画像処理開発においてAI技術*1を使用したDeepInsight技術をより進化させ、電気ノイズを分別し、組織の情報をより引き出すことで、豊かな階調性を持った画像を提供します。


- *1 AI技術のひとつである機械学習を用いて開発・設計したものです。実装後に自動的に装置の性能・精度は変化することはありません。
表示画像の両端まで均一かつ高分解能な画像を描出します。広範囲の観察において見逃し防止への期待ができます。送受信技術であるeFocusing PLUSの送信ビームの設計変更と受信技術の進化により、組織描出能を向上しました。
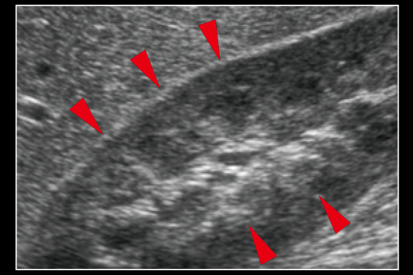
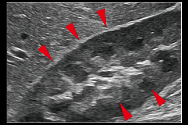
周囲組織の質感や表現を保ちながら、血管壁などの組織構造を明瞭に描出します。進化したエッジ強調処理技術によって、構造物を効果的に抽出することが可能です。

Carving Imaging OFF

Carving Imaging ON
プレミアムクラスから受け継いだ確かな画像描出技術により、微かな変化をも捉えるための高画質を全てのユーザに届けます。













