組織のひずみをリアルタイムに算出することで、硬さの違いを色付け表示します。
乳腺領域をはじめ、甲状腺、泌尿器など、幅広い臨床分野での応用が可能です。

Bモード表示像では、何もありませんが・・・

Elastographyでは、硬い部分が明瞭です!
力を加えたときに軟らかいものは大きくひずみ、硬いものであればほとんどひずまないという特性を利用し、それらのひずみの程度を色で表します。
2014年の日本超音波医学会(JSUM)に続いて、2015年世界超音波医学学術連合大会(WFUMB)にて
乳腺エラストグラフィのガイドラインが発表されました。
このガイドラインではエラストグラフィ撮像手技として3種類提唱されています。病変に応じて手技を使い分けることが推奨されています。
| 方式 | 手技 | 病変の深さ | 撮像可能な腫瘍の大きさ |
|---|---|---|---|
| No Manual Compression |
振動ストローク:なし (意識的な加振・加圧はしない) |
深部の病変では十分な エラスト像が得られないこともある。 |
|
| Minimal Vibration |
振動ストローク:1mm以下 加圧速度:早い周期の極めて細かい振動 (手元を見てもわからないくらい) |
比較的浅い部分 ~中程度 深部の病変 |
非腫瘤性病変などミリ単位の 細かいターゲットでの撮像が可能。 やわらかい領域も繊細に描出。 |
| Significant Compression |
振動ストローク1~3mm程度 (ある程度しっかりした圧迫) |
深部の病変に対応 | ある程度大きな腫瘤 乳管内病変など微小病変には不向き。 |
計測に最適なフレームを装置が自動で選択します。検者間の依存を低減します。
ひずみを定量評価する方法としてFat Lesion Ratio(FLR)があります。これは脂肪(Fat)と腫瘤(Lesion)にROIを設定しひずみの比をとる計測です。Assist Strain RatioはFLR計測に必要なROIの設定を自動で行います。
LF Indexは当社独自の肝線維化を評価する計測機能です。
C型肝炎において、RTEで肝臓を撮像した際の特徴量から肝炎Stagingの推定値をLF Indexとして算出します。
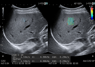
プローブからプッシュパルスを送信し、組織をひずませます。ひずんだ組織が元の位置に戻ろうとするときにせん断波(Shear Wave)が発生します。ある特定の2点それぞれにせん断波が到達した時間を検出し、到達時間の差(time lag)と2点間の距離(distance)からせん断波の伝搬速度(Vs)を計測し数値化します。
1回の計測でm個の点に対し、n回のパルスを送信することでm×n個のVsを計測します。その中で有効とされる値の中央値をVs値として算出します。
信頼性指標(VsN)は、1回の測定で得られた複数個のVs値の集合から、有効な値の割合をVsNとして表示します。この機能により計測が妥当であったかどうかを評価できます。


せん断波(Shear Wave)の伝搬速度をもとに、組織の硬さを色付け表示します。さらにROI内の任意の箇所の硬さを数値化することで、定量評価が可能となります。肝線維化の程度を視覚的かつ非侵襲的に評価できます。



























