このコンテンツは医療従事者向けの内容です。
本体・プローブともに5年保証
3フィート(91.4cm)からの落下試験をクリアし、落下・振動に対して優れた耐久性を有するSonoSiteブランドのプローブを接続可能。
- *お客さまの過失による故障は保証対象外です。

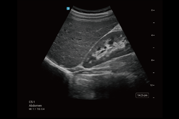
C5-1 (腹部)

P5-1 (心臓)

C5-1 (下大静脈)

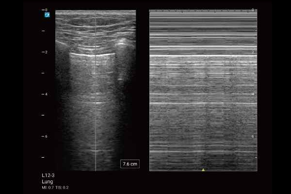
L12-3 (肺)

L12-3 (眼球)

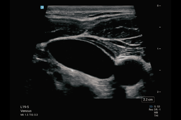
L19-5 (静脈)

L15-4 (神経)

L15-4 (整形)

C5-1 1〜5MHz
用途:腹部・肺・神経・筋骨格・産科・婦人科

IC10-3 3~10MHz
用途:産科・婦人科

L12-3 3~12MHz
用途:動脈・静脈・PIV・頸動脈・肺・神経・筋骨格・表在組織・眼科

L15-4 4~15MHz
用途:神経・筋骨格・表在組織・乳腺

L19-5 5~19MHz
用途:PIV・静脈・神経・筋骨格・表在組織・眼科

P5-1 1~5MHz
用途:循環器・腹部・肺・産科・眼窩・経頭蓋
- 製品名
Sonosite MT
- 販売名
Sonosite MTシリーズ
- 認証番号
307AABZI00045000
- モニター
13.5インチ
- 本体寸法
縦32.7cm × 横32.7cm × 高さ31.8cm(蓋を開けた状態)
- 重量
5.6kg(本体のみ)
- 電気的規格(本体)
AC100-240V 50-60Hz 2.5A
- 表示モード
Bモード/THIモード/Mモード/カラードプラモード/パワードプラモード/PWモード/CWモード/TDIモード
- 販売名
Sonosite PXシリーズ
- 一般的名称
手持型体外式超音波診断用プローブ
- 認証番号
302ADBZI00086000
- 販売名
Sonosite PXシリーズ
- 一般的名称
膣向け超音波診断用プローブ
- 認証番号
302ADBZI00086000













