このコンテンツは医療従事者向けの内容です。
リンパ管の位置や状態を詳細に把握できることにより、外科的治療の精度向上を支援します。


より浅層の動静脈の同定に貢献し、菲薄皮弁の拳上を効率的に支援します。

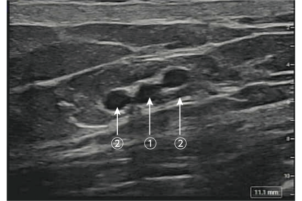
① SCIA(浅腸骨回旋動脈)0.9mm(中央)
② 伴走静脈(左右の2本)

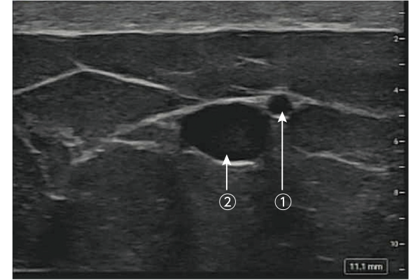
① SIEA(浅下腹壁動脈)0.9mm(右)
② SIEV(浅下腹壁静脈)2.6mm(左)
画像提供:がん研有明病院 形成外科
医療従事者向け情報
本ページのコンテンツは医療従事者の方を対象としており、一般の方への情報提供を目的としたものでありません。
あなたは医療従事者ですか?
このウェブサイトはクッキーを使用しています。このサイトを使用することにより、プライバシーポリシーに同意したことになります。
このコンテンツは医療従事者向けの内容です。
リンパ管の位置や状態を詳細に把握できることにより、外科的治療の精度向上を支援します。


より浅層の動静脈の同定に貢献し、菲薄皮弁の拳上を効率的に支援します。

① SCIA(浅腸骨回旋動脈)0.9mm(中央)
② 伴走静脈(左右の2本)

① SIEA(浅下腹壁動脈)0.9mm(右)
② SIEV(浅下腹壁静脈)2.6mm(左)
画像提供:がん研有明病院 形成外科