このコンテンツは医療従事者向けの内容です。
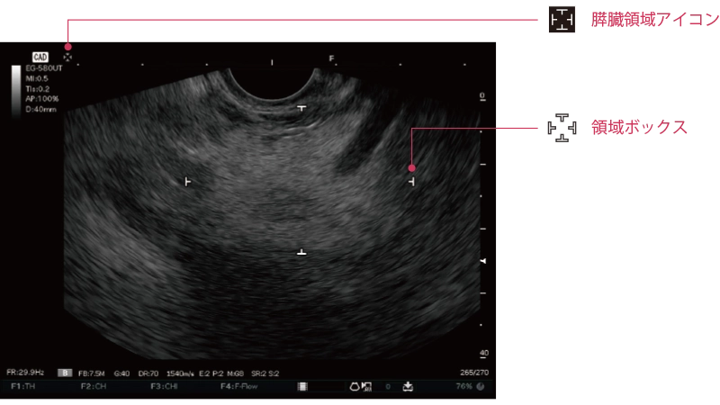
「CAD EYE」が、膵臓領域へ。
膵臓が存在すると推定される領域を検出し、その結果をリアルタイムにモニターに表示します。

膵臓認識支援機能 ON
非表示 膵臓認識支援機能
OFF
膵臓が存在すると推定される領域を検出し、対象領域の上下左右を白色のマークで囲って表示します。

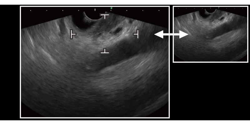
膵充実性病変が疑われる領域を検出し、その結果をリアルタイムにモニターに表示します。

ON*
OFF
CAD 不可
- * Bモード、THIモード、CHIモードのみ使用可
病変検出支援機能 ON
非表示 病変検出支援機能 OFF
病変が疑われる領域を検出すると、超音波内視鏡画像上部に水色の線を表示します。
病変が疑われる領域を検出すると、対象領域を水色の枠で囲って表示するとともに報知音で知らせます。
STEP1 使用したい機能をキーボードで選択

膵充実性病変検出支援機能 ON
膵臓認識支援機能 OFF

膵充実性病変検出支援機能 OFF
膵臓認識支援機能 メイン画面 ON

膵充実性病変検出支援機能 ON
膵臓認識支援機能 メイン画面 ON

膵充実性病変検出支援機能 ON
膵臓認識支援機能 サブ画面 ON
STEP2 選択した機能をスコープスイッチでON/OFF切り替え
*画像は一例です。

EG-740UT

EG-580UT

EW10-US01 超音波内視鏡画像検査支援プログラム
—— 用途に応じてプログラム追加も可能 ——
EW10-SC01 動画静止画保存・ネットワークプログラム
EW10-EC02 検出・鑑別用下部内視鏡画像診断支援プログラム
EW10-EG01 検出用上部内視鏡画像診断支援プログラム
- プロセッサー
EP-8000
VP-7000
EP-6000- 光源装置
BL-7000
- 超音波観測装置
SU-1
- 超音波内視鏡
EG-740UT
EG-580UT













