このコンテンツは医療従事者向けの内容です。
胸部CT画像から、異常所見が疑われる領域を性状ごとに分類し、それぞれの体積・面積や全体における割合を自動的に算出することで、間質性肺疾患の診断を支援します。
- * 販売名 間質性肺疾患定量評価支援プログラム FS-AI694型 (承認番号:30700BZX00073000)

CT・MRIのみならずDICOM画像を並べて表示ができます。MPRだとリアルタイムスタックリコンが可能であり、画像のキャプチャ、保存も可能です。
CT・MRIなどのボリュームデータから3D画像作成を行います。仮想内視鏡やMPRなどさまざまな画像表示や計測も可能です。
複数フェーズの画像を読み込み、画像の持つ時間情報に基づいて再生します。また、シネ再生した3D表示を動画として出力します。
マルチ3Dでは、最大で8シリーズの画像を同一空間に配置して、ボリュームレンダリングした3Dを表示できます。画像間で位置ずれがある場合でも、自動または手動で位置合わせできます。
別日検査や、異なる時相のCT・MR画像を3Dで比較読影ができます。臓器抽出や体積比較などにも対応しております。
血管をはじめとする管腔臓器の中心軸をトレースし、CPR画像を観察できます。大動脈を自動抽出し、血管計測や手術シミュレーションも可能です。
異なるモダリティの重ねあわせが可能です。信号値同士を差分し、DICOM保存する機能も備えております。
2つのシリーズの重ね合わせ画像を作成し、保存することができます。3D画像だけでなく、一枚のみのDICOM画像や、汎用画像などにも対応しています。
2D表示上で、直線や扇に沿って断面を作成して、新たな画像として印刷または保存できます。
椎体の観察などの整形領域を主とした任意断面観察用のアプリケーションです。ボリュームデータからスライスラインを設定することによって、任意断面を作成することができます。
CT・MRIなどで経時的に撮影したデータから、タイムインテンシティ(タイムデンシティ)カーブを観察できます。
造影/非造影のCT画像を用いて、サブトラクションが可能です。石灰化領域も自動で抽出します。
造影/非造影の画像を用いて、サブトラクションが可能です。血管のみならず石灰化部位の描出もでき、動静脈の分離も自動で行えます。
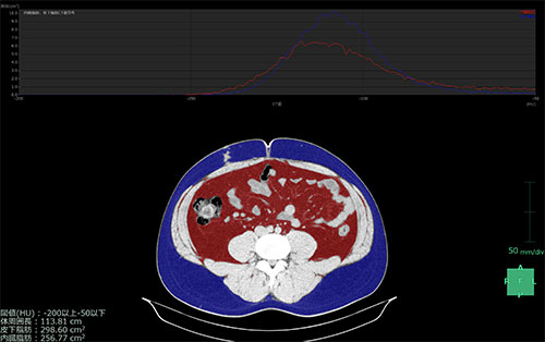
単純CT画像から最適な解析断面の自動検出(臍位置の断面の自動検出)、皮下脂肪、内臓脂肪や骨格筋などの面積を自動的に算出します。算出した結果はレポート保存、出力ができます。
頭部MRI画像から高位円蓋部の正中、シルビウス裂および脳底槽のクモ膜下腔、脳室を自動抽出しそれらの体積などを算出します。
頭部MR画像から脳を自動セグメンテーションし、それぞれの体積を測定します。過去の計測結果と比較することで各領域の萎縮や拡大の度合いを評価できます。
MR拡散強調画像から、テンソル解析を行い、神経線維の経路をトラクトグラフィーにより抽出し、観察できます。
CT画像を主として追加読み込みし、皮膚、骨、脳実質、腫瘍、頭部血管を抽出することで、開頭手術をシミュレーションすることができます。
CT・MRIで撮影された同一断面のダイナミックスキャン画像から、脳血流の動態を解析し、CBV(脳血液量)、CBF(脳血流量)、MTT(平均通過時間)、TTP(造影剤の到達ピーク時刻)を算出します。
全脳CTのダイナミック画像を用いて、脳血流情報を測定できます。脳表抽出や骨・動静脈抽出にも対応しており、3Dや4D画像とのフュージョンも可能です。
ASL画像とプロトン密度画像を基に脳血流(CBF)Mapと血液の到達時間(ATT)Mapを自動実行機能で生成します。
頭部単純CT画像より、脳実質の高信号領域および低信号領域を自動強調表示します。
CTで撮影された画像から、歯列に沿ったパノラマ像、歯槽骨断面像を表示し、印刷するアプリケーションです。仮想インプラント留置や、下顎管のマージンチェックも可能です。
CT・MR画像から血管の経路を自動抽出し、冠動脈を評価できます。
CT・MRIのシネ画像を用いて、壁厚や局所駆出率などを算出できます。左心室だけではなく右心室の解析も可能です。
非造影の冠動脈CT画像を用いて、Agastonスコアの算出が可能です。マニュアルのほか、自動でのスコアリングも可能となります。レポート出力も簡便におこなえます。
心臓フュージョンでは、機能画像と形態画像を重ね合わせて、互いの特長を生かした画像を生成できます。CTだけでなく、MRIで得られた心機能の情報、遅延造影解析の結果、またはSPECT画像とのフュージョンも可能です。
心臓CT・MRIパフュージョンの検査データから心筋の虚血状態を解析できます。
CT・MRIで撮影された遅延造影画像から信号値が高い領域を抽出し、面積を計算して高信号領域のブルズアイ表示、体積測定などを行います。遅延造影解析(CT)ではECV解析にも対応しています。
大動脈弁の各種計測や解析をし、大動脈弁置換術を支援します。
複数の時相で構成されるCT画像から左右心室・心房および心筋の領域を抽出し、心室の駆出率などの心機能パラメータの算出、心室および心房の容積遷移の観察を行うためのアプリケーションです。
MRIで撮像されたT1map画像(MOLLI法)のNativeT1mapping、ContrastT1mappingから心筋質的変化などの評価を支援します。ECV解析にも対応しています。
胸部CT画像から、異常所見が疑われる領域を性状ごとに分類し、それぞれの体積・面積や全体における割合を自動的に算出することで、間質性肺疾患の診断を支援します。
- * 販売名 間質性肺疾患定量評価支援プログラム FS-AI694型 (承認番号:30700BZX00073000)
CT画像から肺野、5葉、気管支を自動抽出。肺結節の解析も可能です。各抽出結果からGoddard分類によるスコアの自動算出、肺葉ごとのLAA%の算出、気管支解析やクラスター解析を行います。
DeepLearning技術を用いて設計された画像認識エンジンにより、肺結節の候補を自動検出します。
- * 販売名 肺結節検出プログラム FS-AI688 型(承認番号 30200BZX00150000)
- * 本機能は肺解析の導入が必須となります
肺癌患者のCT画像から化学放射線治療(chemoradiotherapy:CRT)を実施した症例の検索ができ、その治療計画情報を参照できます。
肺野CT画像から気管支を高精度に抽出し、腫瘍/結節からの最短距離を自動計算します。その経路の仮想内視鏡を観察可能です。
CT画像を用いて、肺野、気管支、肺動脈/静脈の抽出を行い、その結果を3D表示します。
また、抽出した血管や気管支の支配領域の抽出、区域分けを行い、術前プランニングを行うことが可能です。
肺切除解析で作成した肺領域を変形させ、手術時の脱気状態を模した画像を作成します。肺が脱気した状態で目的部位や血管、気管支などの観察をするなどの術前シミュレーションが可能です。
吸気・呼気の胸部CT画像を元に、各相の低吸収領域を算出。非剛体位置合わせを行い、両者の重複領域も算出できます。さらに呼吸による肺野の移動量を可視化、膨張率も算出可能です。
胸部CT画像に新型コロナウイルス肺炎の特徴的な画像所見が含まれている可能性(確信度)の表示および確信度の判定に寄与した領域のマーキング表示により、医師の診断を支援します。
- * 販売名 COVID-19 肺炎画像解析プログラム FS-AI693 型(承認番号:30300BZX00145000)
CTで撮影した画像を読み込むと肋骨、椎体の抽出、これらの骨番号の附番をおこないます。各々の領域を抽出することにより体幹の骨を一覧で観察することが可能です。
また、骨番号の附番により病変部の位置を同定しやすくなります。
乳腺MRIの画像解析が可能です。
各時相における信号値の変化を表現した画像、Kinetic Curveの作成、腫瘍の3次元抽出、および造影パターンの比率表示をおこないます。
CT・MR画像を用いた肝臓実質のVolumetryを行えます。CT画像では領域分割や支配領域(目安)の抽出も容易に行え、離断面表示などの術前シミュレーションも可能です。
肝臓解析でシミュレーションした解析結果をもとに、肝臓および周辺臓器を変形させながら観察することができます。
造影CT画像を用いて膵臓、各血管領域の抽出を行い、その結果を3D表示します。膵臓内における膵管の位置関係を3D表示し、切離面の設定から残膵ボリュームや切離面(膵臓直交断面)より膵臓断面積が計測できます。
腎臓、腎皮質、各周辺臓器領域を自動抽出し、その結果を3D表示します。
また、抽出した腎臓領域、および動脈の支配領域を抽出したり、腫瘍の核出術シミュレーションが行えます。
CT・MR画像から左右の腎臓を自動抽出し、体積などを算出できます。
多発性嚢胞腎治療薬の適用の一つである、腎臓体積計測やその経過観察が可能なアプリケーションです。
<医薬関係者向情報サイト>
常染色体優性多発性のう胞腎(ADPKD):適正使用に関する情報(大塚製薬)
<患者向け情報サイト(大塚製薬)>
ADPKD.JP ~多発性のう胞腎についてよくわかるサイト~(大塚製薬)
骨盤内領域のMRI画像を用いて直腸や周囲臓器、血管、神経の抽出を行い、その結果を3D表示します。
直腸周囲の血管や神経との位置関係を3D表示し、仮想内視鏡モードでのシミュレーションが可能です。
炭酸ガスで大腸領域を拡張したCT画像から自動的に大腸、および仮想内視鏡の経路を自動抽出します。
タギング処理された検査画像はデジタルクレンジング処理により残渣を除去し、除去後の内腔から経路を再計算します。仰臥位、腹臥位はもちろん側臥位など3体位読込み可能でその内2体位を連動し同時観察が可能です。
CTで撮影されたボリュームのDynamic Scan画像から、腹部領域の動態解析ができます。TBF(組織血流量)、TBV(組織血液量)、MTT(平均通過時間)、TTP(造影剤の到達ピーク時間)を算出し、三次元的に血流の動態を把握できます。
前立腺MRI画像解析を行い、腫瘍の診断補助を行います。各画像の比較観察や、前立腺、腫瘍の経を指定し計測、Time Intensity Curveの作成が可能です。複数b値からADC mapの作成、Computed-DWIも作成できます。
EOB画像よりタイムインテンシティカーブを作成、解析を行います。
ボリュームデータを用いて体幹部の皮下脂肪、内臓脂肪、骨格筋領域を自動で抽出し、面積や体積の評価をおこなえます。またその結果をグラフとして表示し、スライスごとの脂肪量、部分体積などを確認できます。
CT画像から脊椎の認識・抽出・ラベリングを行い、各椎体ごとに対するスクリュー挿入イメージの作成と観察が可能です。
プロトン密度強調画像とT2*強調画像から大腿骨、脛骨、膝蓋骨、軟骨、半月板を自動で抽出後、軟骨の厚さ、半月板と脛骨の距離を計測することが可能です。
仮想超音波では、単一時相または複数時相で撮影されたCTやMR画像を用いて、仮想的な超音波画像を観察できます。複数時相の画像を用いた場合は、シネ再生しながら仮想超音波画像を観察できます。この仮想超音波アプリケーションを用いることで、実際に超音波検査した際に、どの位置にどのようにプローブを当てればどの臓器が確認できるかなどをある程度シミュレーションできます。
術前CTなどを用いて、3D仮想透視画像を簡便に作成できます。目的部位、アプローチルートと椎体などの位置関係の把握が容易になります。Working angleの術前検討や、緊急IVR時の経路検索などにお役立ていただけます。
MRIから血流の速度、方向を計算し、三次元表示をおこないます。強度画像から作成した血管領域に3種類の位相画像から計算した速度、方向情報を重ねて表示します。血流の観察や指定したROIに対する速度情報を計測できます。
対象のアプリケーション*1で作成した3D画像を空間再現ディスプレイ*2に表示し、VINCENTと同期して操作することができます。
- *1 肺切除解析・肝臓解析・膵臓解析・腎臓解析・直腸解析のみ対応
- *2 ソニー株式会社製品 ELF-SR1/ELF-SR2に対応
異なる管電圧のCT画像から任意keVの画像作成、物質弁別やVirtual non-contrastなど各種解析が可能です。
形態画像であるCT画像と、機能画像であるPET画像またはSPECT画像を重ね合わせて表示できます。SUVまたはカウント%の測定や過去比較などにも対応しています。
造影CT画像から各臓器・血管領域を抽出し、その結果に対し仮想内視鏡を用いて3D表示します。
胸腔鏡下・腹腔鏡下の手術シミュレーションができます。
肝臓、膝などの部位をマルチエコーで撮像した画像から、各種Tx値を計算し、カラーマップ表示が可能です。
DeepLearning技術を用いて設計されたアルゴリズムを利用することで、ブラーリングの影響を抑えつつ画像ノイズを低減し、短時間で低線量撮像でも違和感のないCT画像処理を行うことができるソフトウェアです。
- * PixelShine™はAlgoMedica社の商標です。
- * Windows10(1903以降)、Windows Server 2019にて動作可能です。VINCENTのハードウェアでは、V6のマスターサーバまたはスタンドアロンを新規購入した場合のみ、インストールが可能です。
MRIで撮像した拡散強調画像を使用して、ADC Map、eADC Mapの表示、ADC値の計測、疑似カラー表示、ADC Mapとほかの画像との重ね合わせ表示ができます。
また、2種類のb値の画像からほかのb値の画像を作成するComputed DWIも可能です。
MRIで収集した拡散強調画像の信号値の情報から、見かけの拡散係数と灌流を考慮した拡散係数を同時に計算して、画像化するアプリケーションです。
MRIで撮像したPhase Contrast画像から血流の速度を計算し、可視化します。
CT・MR画像を主とした計測、およびPET画像を主としたSUV計測が行えます。
それらの病変は、RECIST1.1、PERCIST1.0などの基準によって評価が可能です。
ボリュームデータに対して閾値処理によって決定された境界表面から、マーチングキューブ法によってポリゴンモデルを生成して表示し、そのポリゴンモデルを外部ファイルに出力するためのアプリケーションです。
骨領域や肝臓領域などの自動抽出結果から、表面モデルを生成。STL形式出力や3D-PDF出力が可能です。
- * STL形式出力、3D-PDF出力には別途「サーフェス表示」が必要です。
広範囲を撮像し、異なるシリーズとして分離された画像を、画像の位置や向きを調整して単一の画像のように扱い、表示や保存を行えます。例えば、MRIなどで得られた頭部と頚部の連結やMIP処理、異なる手法(TRAとSAG、頭部コイル撮像画像と腹部コイル撮像画像など)で得られた画像の統合、連結が可能です。
撮像パラメータの異なる複数のMRI画像とシミュレータによる輝度値から、フィッティングによって定量値マップ(T1、T2*、R1、R2*、Myelin weighted、PD)を算出します。
MRIのマルチエコーで撮像した絶対値画像と位相画像から磁化率差を計算、画像化し、定量的磁化率マッピング(Quantitative Susceptibility Mapping:QSM)を作成します。













