このコンテンツは医療従事者向けの内容です。
液体ヘリウムをまったく使わないECHELON Smart ZeroHelium。
ヘリウム供給の影響を受けず、クエンチ爆発*1をZeroに。
災害時の復旧時間やコストを大幅に削減し、常にMRI検査を提供できるよう優れた持続性を、ECHELON Smart ZeroHeliumで。
- *1 超電導状態を失った時の爆発的なヘリウムの放出を表現しています
01/液体ヘリウム依存をZeroに
02/よりよい画質を深く、幅広く
03/MRI画像をあとからコントロール
04/AI技術*2を活用してMRI操作の負担を軽減
- *2 開発にAI技術を活用しています。導入後に自動的に 装置の性能·精度が変化することはありません
「ZeroHelium」は、液体ヘリウム使用量をZeroにすることで、省資源に貢献します。また、ヘリウムの価格変動や供給不安によって入手困難になるケース、ヘリウム起因によるトラブルをZeroにし、安定稼働に貢献します。
当社製1.5T超電導MRI*3
多くの液体ヘリウムを使用
ECHELON Smart ZeroHelium
液体ヘリウム使用量 Zero
- *3 ECHELON RX
「ZeroHelium」は、緊急事態*4の際に院内スタッフのみ*5で消磁、励磁の復旧作業をすることが可能です。
このため、復旧にかかる時間やコストを極力抑えることができます。
- *4 緊急減磁を要さない場合
- *5 一部サービス員が必要な場合がございます
- *6 超電導状態を失った時の爆発的なヘリウムの放出を表現しています
「ZeroHelium」は、液体へリウムを一切使用していないため、ヘリウムガスが外部に排出されることがありません。
このため、クエンチ配管(クエンチパイプ)を設置する必要がなく、クエンチ配管設置にかかる施工コストを削減できます。
また、クエンチ配管のスペースを確保する必要がないので、MRI装置設置の自由度を高められます。
画質を維持しながら撮像時間を短縮するIP-RAPIDと、開発にDeep Learning技術を活用し*8、高画質化を図るDLR Plus。2つの技術の組み合わせにより、診やすい画像を高速で得られます。
- *8 開発にDeep Learningを活用しています。導入後に自動的に装置の性能·精度が変化することはありません
IP-RAPID×DLR Plusは撮像時間の短縮も可能なため、同一検査時間であれば、より多くの撮像が可能となります。従来検査に対して、異なる画像種類や断面など、追加撮像によって情報量を増やすことができ、診断をより確かなものに。
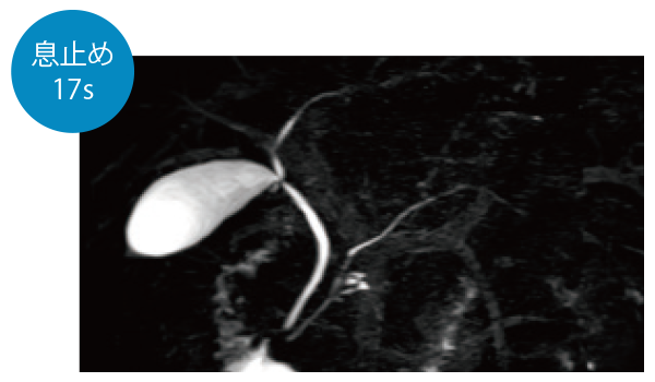
IP-RAPID×DLR Plusによって呼吸同期計測や横隔膜同期計測など時間のかかる検査を短くできます。さらに時間を短くし、息止めによる検査に変更することもでき、患者さまの状況に合わせて検査をお選びいただけます。選択肢が増えるので、検査の幅が広がります。

3DMRCP(息止め)

3DMRCP横隔膜同期(Navi)

3DMRCP(呼吸同期)
IP-RAPID×DLR PlusはVolumeScanやRadialScan、HalfScanといった基本撮像に加え、MultiContrastScanのFatSepやDWIなど多くの撮像法でお使いいただけます。広範囲DWIやWhole Spine撮像など時間のかかるWide Scanにも併用でき、多くの部位で従来よりも詳細な情報を得ることができます。
撮像データに生じたアーチファクトを除去・抑制したり、限られた撮像データから再構成画像を生成する機能を提供することで、再撮像率を低減し、スムーズなMRI検査の実現をサポートします。
SNRや鮮鋭度をあとから再構成で向上
SNRや折り返し除去など、撮像パラメータをあとから再構成で調整
Deep Learning技術を活用し*8 、撮像終了後の画質調整を可能に。SNRを最適化するほか、MRI信号の処理を段階的に行うことで(k空間上の信号処理の工夫)画像の鮮鋭度を向上させます。これにより超解像化やトランケーションアーチファクトを低減します。


位相エンコード方向のサイズを誤って設定した場合、FOV外の信号に折り返しが生じ、画像にアーチファクトとして現れます。Exp.RAPIDは、指定したFOV拡大率に応じて画像を再構成。後処理で、アーチファクトを除去することも可能です。

検査を中断しても必要最小限のデータであとから再構成で救済
Series Save
被検者によるエマージェンシーコールなどでスキャンの中断を余儀なくされても、必要最小限の撮像データが得られていれば、それらを用いて画像を再構成することが可能。被検者の負荷を軽減するとともに、診療業務の円滑化に貢献します。
- 「患者さまを看る」時間を確保し、より丁寧な対応を可能に。
- 「画像を視る」作業を支援し、チェックや判断の時間を確保。
- 「ストレスフリーで診る」環境を提供し、精度のばらつきを抑制。
- 「コストを見る」視点から、安定した質の提供と業務効率化を実現。
誰でもスムーズに操作できる環境を整え、診断の質向上と負担軽減に貢献します。


AutoPose Cardiac GUI

AutoPose FemalePelvis

AutoPose Knee
スライスライン設定サポート機能"AutoPose"は、Scanogram撮像終了と同時にスライスラインを設定します。
MRA撮像終了後、自動で頭部MRAのクリッピングを実行します。自動クリッピングは、頭部の特徴量に基づいて抽出範囲を識別します。自動クリッピング処理後の画像に対し、追加のクリッピングを行うことも可能です。
- *8 開発にAI技術を活用しています。導入後に自動的に装置の性能·精度が変化することはありません
- *9 検査・処理を自動で行うもので、診断を自動で行うものではありません。操作者の確認が必要です
ECHELON Smart ZeroHeliumは、ZeroHeliumマグネットとZeroHeliumテクノロジーで高度な磁場コントロールを実現しています。
そのため消磁、励磁後サービス員の確認がなくともMRI検査が可能*10となります。
- *10 クエンチ時、緊急減磁時除く


消磁前

消磁後
富士フイルムは、コンパクトなOpenMRIの実績をもとにECHELON Smart ZeroHeliumを設計。スペースを有効活用できるよう、柔軟な設置を実現しました。また、MRI導入のハードル緩和のために機械室のユニット設置スペースに配慮して設計しています。

磁石の内部をモニタリングし、十分に冷えているときにはゆっくり運転、温度変化があったら内部の温度が安定するように冷却します。

蓄積を重ねた装置稼働状況などを中心としたビッグデータの分析と富士フイルムの「故障予兆診断サービス」を活用して開発した超電導MRI装置向けの故障予兆診断サービス。
装置の状況を24時間モニタリングと予兆診断の活用で、点検・部品交換サイクルの適正化と装置稼働率の向上を実現しました。

- 販売名
MRイメージング装置 ECHELON Smart
- 医療機器認証番号
229ABBZX00028000
- * ECHELON Smart Plusは、ECHELON SmartのシステムソフトウェアORIGIN9を搭載したモデルの呼称です。













