このコンテンツは医療従事者向けの内容です。
撮影部位に応じてたった1ボタンでセッティング
従来のCT検査*1 は、被検者を寝台に寝かせた後、医療従事者が撮影部位に応じた寝台高さと撮影開始位置を目視で合わせていました。そのため、医療従事者の技術の習熟度によりセッティングの時間や位置にばらつきがありました。
AutoPositioning*2*3*4 は、Deep Learingを活用して開発した技術により、天井に取り付けた3Dカメラの画像から寝台上の被検者の特徴点を3次元的に推定し、1ボタンで適切な寝台高さと撮影開始位置に移動します。頭部や胸部だけでなく、合計14種類の撮影部位に対応しています。

頭部撮影の場合

胸部撮影の場合
- *1 Supria Grande FRの場合 販売名:全身用X線CT診断装置 Supria 認証番号:225ABBZX00127000 Supria Grande FRは全身用X線CT診断装置 Supriaの64列検出器搭載モデルの呼称です。
- *2 オプションです。
- *3 AI技術のひとつであるDeep Learningを活用して開発した機能です。導入後に自動的に装置の性能・精度が変化することはありません。
- *4 位置決め時の寝台移動を補助する機能であるため、投光器(ライトローカライザ)を用いて、操作者が最終的に目視及び手動で位置決めする必要があります。
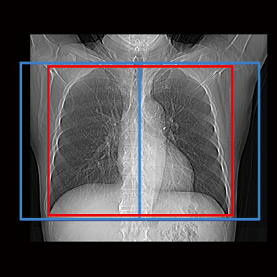
スキャノグラム画像から撮影範囲を自動セッティング
従来のCT検査*1は、被検者を寝台に寝かせた後、スキャノグラムと呼ばれる画像を撮影し、その画像上で医療従事者がマウスを使用して撮影範囲や視野サイズ、画像の傾きなどを目視で設定していました。
AutoPoseは、Deep Learingを活用して開発した臓器認識技術により、自動で撮影範囲や視野サイズ、画像の傾きなどを*5設定します*6。頭部や胸部だけでなく、合計14種類の撮影部位に対応しています。さらに頭部撮影時にはiTilt機能を併用することで、撮影後に自動的にチルト画像を作成することも可能です。
赤:自動設定された位置、青:自動設定された位置+マージン設定の位置

頭部(OM Line)

胸部
- *5 画像の傾きは、頭部検査時の場合
- *6 自動算出された撮影範囲は、必要に応じて操作者によって調整が必要です。
富士フイルムがこれまで培ってきた画像処理技術をCT装置本体にも搭載し、解析機能を充実。再構成した画像をCT装置本体に保存するのと同時に、SYNAPSE VINCENT Core*7 に並行転送することで、撮影後から解析開始までの待ち時間を短縮することができます。CT装置が撮影で占有されている場合でも、解析処理のスループット向上が期待できます。

1人で使用する場合

2人で使用する場合
- *7 SYNAPSE VINCENT Coreは、SYNAPSE VINCENTの解析機能のうち、放射線科領域で利用頻度の高い解析機能を集約し、当社のCT/MRIにカスタマイズしたエディションです。 3D画像解析システム SYNAPSE VINCENT 販売名:富士画像診断ワークステーション FN-7941型 医療機器認証番号:22000BZX00238000 製造販売業者:富士フイルム株式会社
CT・MRIなどの断層画像から高精度な3D画像を描出し、解析を行う3D画像解析システム「SYNAPSE VINCENT Core」が、メディカルIT技術ブランド「REiLI(レイリ)」によるDeep Learningによって、さらなるバージョンアップを遂げました。膨大に蓄積された医用画像データを生かし、CTデータからの自動抽出機能や、脈管系の抽出機能が充実。画像認識技術を生かして、チーム医療を支え続けてきた富士フイルムだからこそ実現できた、AI時代の3D解析技術です。富士フイルムの「REiLI」が、チーム医療の最前線へと導きます。

「REiLI」によるDeep Learningを用いた臓器抽出で画像処理を簡単に行うことが可能です。

肺葉

肝臓

腎臓

結腸

肺解析

仮想内視鏡表示

整形外科領域での抽出













