このコンテンツは医療従事者向けの内容です。
画質に影響を及ぼす「動き」。
その影響を低減する富士フイルムのアプローチをご紹介します。
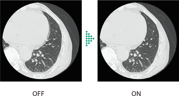
胸部領域全体で画像のブレを抑える
従来の胸部CT検査*1は、心拍動の影響や被検者の体動などにより画像のブレが発生し、診断が難しいケースがありました。Body StillShotは、収集したRawDataから被写体の動く方向と量を4次元的に算出し、動きによるブレの少ない画像を提供します。AI技術を活用して開発した画像再構成技術IPVとの併用も可能で、さらなる高画質化に寄与します。


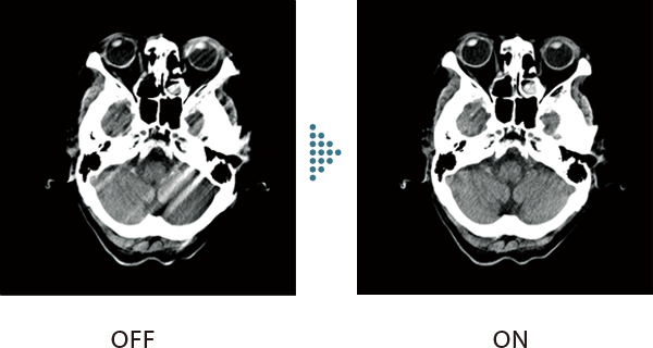
頭部CT検査で画像のブレを抑える
頭部撮影において、検査中の体動によるアーチファクトを補正します。

- *1 SCENARIAの場合 販売名:全身用X線CT診断装置 SCENARIA 認証番号:221ABBZX00081000
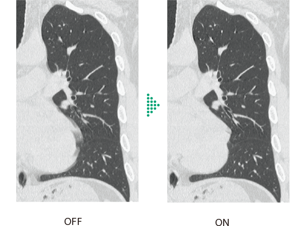
心臓CT検査で画像のブレを抑える
従来の心臓CT検査*2 は、高心拍や不整脈など撮影中の心拍数変化により心臓全体の画質に影響を与えることがありました。Cardio StillShotは、収集したRawDataから被写体の動く方向と量を4次元的に算出し、動きによるブレの少ない画像を提供します。画像再構成時に補正を行うことで、最高28msecの実効時間分解能*3 を実現します。


- *2 SCENARIAの場合
- *3 0.5秒スキャン、心拍数80bpm以下の場合
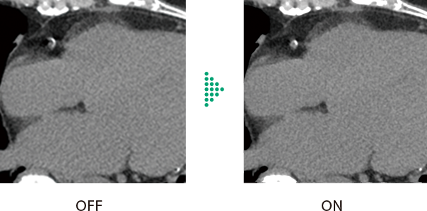
IPVはAI技術*4を活用して開発した画像再構成です。充分な反復処理により得られる画像を教師データとして処理を高速化。富士フイルムが開発したVisual Modelに基づき、RawDataを起点とした画像再構成処理により、NPS(Noise Power Spectrum)をFBP(Filtered Back Projection)に近づけ、高いノイズ低減率においても、画像の質感変化を抑えます。画像ノイズを最大90%*5低減し、被ばく量は最大83%*6低減。低コントラスト検出能を最大2倍*6に改善します。


統計学的モデル、オブジェクトモデル、物理学的モデルに基づき、画像ノイズや画質を繰り返し演算処理により制御する技術です。

高周波から低周波まで均等な割合でテクスチャを調整しながら視認性に影響を与えるノイズ周波数特性をFBPに近づけました。





- *4 AI技術のひとつであるMachine Learningを活用して開発した機能です。導入後に自動的に装置の性能・精度が変化することはありません。
- *5 腹部での場合
- *6 水ファントムに対してIPVの強度レベルStrong5を使用して画素値の標準偏差にて試験した場合
- *7 モデルオブザーバ法を用いてMITA CT IQファントム(CCT189、Phantom Laboratory社製)に対して、IPVの強度レベルStrong5を使用して 0.625mm厚のスライス厚でテストして得られた結果です。
検査対象、被検者のサイズ、解剖学的位置、および検査内容によっては、得られる効果が小さくなり得ます。
感受性の高い部位の被ばく低減
頭部撮影において、回転中の線量を制御し前方からの照射線量を低下させることで、水晶体などの放射線感受性の高い部位へのX線照射を最大30%程低減します。画質の変化が少なく、また制御範囲を任意に変更することができるため、ご施設の用途に応じたカスタマイズが可能です。


金属アーチファクトの低減
逐次近似処理を用いて金属アーチファクトを軽減する技術です。金属部分を抜き出しアーチファクトを推定し、補正を行います。効果の強度が選択可能で、目的に応じてご使用頂けます。

75kVAで最大670mAの出力
高効率ジェネレーターと6MHUのX線管装置により、60kW(最大670mA)の高出力を実現。また、低管電圧撮影時の柔軟な撮影条件の設定をサポートします。
光学系システムを新設計し、検出器を刷新しました。検出器はMaxiLightテクノロジーを採用。基盤間のアナログ配線の必要性をなくすことで電気ノイズを低減し、高画質化に貢献します。













